-
すべての患者様へ
大切な歯を守る治療を -
コア歯科クリニックは、札幌市東区の地域の皆様が歯科治療を通して、健やかな生活をしていただける環境づくりのお手伝いをしたいと考えております。
「通いやすく安心できる」と思っていただける歯医者であるために、患者様の負担にならない治療を心掛け、信頼して治療を任せていただける歯医者を目指しています。
口腔内の状態は、処置後のケアによって変わっていきますので、治療をのみで終らせるのではなく、大切な歯を守るためにも口腔内を健康な状態に維持できるよう、サポートさせていただくことが歯科医院の役目であると考えています。
診療のご案内TREATMENT

一般歯科
虫歯や歯茎の治療をはじめとする歯の総合的な治療を行っています。
口腔内の現状を把握するためにデジタルレントゲンの撮影や診察により診断を行い、その後症状をご説明する際には、レントゲン画像や資料などを用いて患者様に合った治療をご提案します。
治療内容にご納得いただいたうえで、治療を進めていく方針をとっておりますので、不安や気になる点はいつでもスタッフにお申し出ください。
一般歯科では定期検診やPMTCによるクリーニングなど、普段の歯磨きだけでは難しい歯と歯の間や歯茎の隙間のケアも行っています。
虫歯の発見は遅くなるほど完治までに時間が掛かり、身体への負担も大きくなります。
そのため痛みを感じたら歯医者へ相談に行くこと、何か症状が出る前に早めに受診することをおすすめします。
またご自身の歯の健康を守るための予防歯科の診療も推進しております。

小児歯科
子どもの乳歯は軟らかく永久歯よりも虫歯の進行が早いため、乳歯の管理を慎重に行うことが虫歯予防にもなります。
乳歯を失うことになると、歯並びや嚙み合わせにも影響してしまうことがありますので、お子様に歯磨きをさせるだけになってしまわないように、保護者様が毎日しっかりとお口の健康を管理することをおすすめします。
当院の小児診療では、上手なブラッシングができるようスタッフがアドバイスさせていただき、虫歯の治療以外にも、虫歯になりにくいようにフッ素塗布や予防処置なども行っております。
幼少期における歯列の状態は、顎の成長に伴って永久歯列の形成に影響する場合がありますので、ご家族が一緒になってお子様のお口の健康を守っていくことが大切です。

予防歯科
虫歯や歯周病は罹ってから治療するのではなく未然に防ぐことが大切となり、歯科医院での定期検診と自宅でのケアが大切な歯を守ることに繋がります。
予防歯科では定期検診によって日頃から歯の状態をチェックし、虫歯や歯周病を防ぐ診療を行っています。
いくつになっても、ごはんを美味しく食べられる健康的な歯を維持できるようケアを行っていますので、日常的なケアの一環として予防歯科治療をご利用ください。

矯正歯科
当院の矯正歯科治療では、呼吸の改善を目的とした矯正治療を行なっています。児童の咬合異常の大きな原因の一つは「呼吸」です。
当医院では、狭くなった上顎の拡大を行うことで、「鼻呼吸」がしやすくなる事実に着目しています。そうすることで「口呼吸」で損なわれてきた舌の位置の改善や顔の骨、筋肉の健康的な成長を取り戻す事ができると考えております。
見た目の改善も大事ですが、噛み合わせの根本的な原因を取り除くことが、小児の矯正治療においてもっとも大切なことだと考えております。
成人においても小児と同じように拡大することによって、「呼吸」の改善が可能です。上顎を拡大することによって、「鼻呼吸」しやすくなり、睡眠時無呼吸症候群等の改善にも効果があるとされています。ただし、小児期と違い成人の場合、上顎正中口蓋縫合が癒合しているため、拡大装置にて縫合離開させるために、局所麻酔下での手術が必要となります。

口腔外科
親知らず、抜歯、外傷、顎関節症など、外科手術が必要な治療や炎症を伴う疾患の治療などを行っております。
口腔外科では診察の際に、歯の状態を精密に検査する歯科用CTを使用して診断を行い、症状や治療方針もわかりやすくご説明しながら、安心して治療が受けられるよう心掛けています。
またレーザーなど様々な設備も導入しておりますので、症状に合わせて適切な治療が行えるよう環境を整えています。

インプラント
インプラント治療とは、歯を失った場所に、ネジのような形をした人工歯根(歯科インプラント)を埋め込み、その上に人工歯を装着することにより、失った歯を補う治療です。
インプラント治療により、周りの歯に負担をかけることなく、自分の歯のようによく噛める、美しい歯を取り戻すことができます。

ホワイトニング
オフィスホワイトニング、ホームホワイトニング、そしてそのどちらも同時に行うデュアルホワイトニングという3つの方法で、自然な白さと清潔感のある歯を目指していきます。
患者様のご希望をお伺いして条件に合う方法で治療を行います。
歯のくすみや黄ばみを改善したい方など、ご自身の歯の審美性について悩まれている方へ解決に繋がる治療を行えるよう努めています。

セラミック治療
セラミックは光を透過して天然歯に近い透明感が出るため、自然な仕上がりを目指すことができます。銀歯などをセラミックに変えたい方は、診察をさせていただきご希望をお伺いしながら治療を進めていきます。
金属類を使用しないセラミックの治療では、とくに金属アレルギーをお持ちの方にとっては安心して受けられる治療となっております。金属イオンが溶け出すことにより歯肉が変色する心配がなく、汚れも付着しにくい特徴もあります。

ブリッジ
歯を失ってしまったときに行う治療で、失ってしまった歯の前後を支えとして橋をかけるように被せ物で繋ぎ合わせて歯を補います。
自分自身の歯が土台となって装置を固定しますので、噛み合わせの際にグラつきなどの違和感が少なく自然な感覚で食事や会話ができます。

入れ歯
入れ歯を入れていると痛みがでる、ものが噛みにくい、外れやすいといったお悩みを少しでも和らげるよう、当院では歯茎に負担が少ない入れ歯を採用しています。
保険適応の入れ歯から保険適応外の入れ歯まで幅広く取り扱っておりますので、患者様のご希望や機能面で望まれていることなどお伺いし、ご要望に合うものをご提案させていただきます。
症例紹介CASE STUDY
顕微鏡治療

3倍から20倍まで拡大できる歯科用顕微鏡のマイクロスコープは、歯周病治療、虫歯治療、口腔外科、根管治療、インプラント治療など、様々な場面に用いられています。
口腔内には細かい組織が存在しているため、肉眼では的確に捉えて治療を行うのは難しく、治療の精度にも限界があります。
ですがマイクロスコープを使用することによって、鮮明な状態で口腔内を捉えることができるため、精度の高さが求められる治療にも対応することができます。
虫歯治療

目視ではわかりにくい虫歯も、マイクロスコープを使用することで発見できるケースもあります。このようにごく軽微な虫歯は、しっかりと歯磨きをして、口腔内の環境を清潔に保つことで再石灰化が促進されて、自然治癒する場合もあります。
しかし、虫歯が進行してしまっている場合は、そのまま放置してしまうと痛みを伴ったり、更に症状が進んでしまうので、虫歯の部分をしっかりと除去し、被せ物をして治療する必要があります。
根管治療
虫歯が歯の神経まで達してしまったり、根の先に膿が溜まってしまったりなどの歯根の炎症に対する治療を行います。
マイクロスコープを使用することで歯根の中まで捉えることができるため、隠れた汚れや溜まっている膿を除去して洗浄することができます。
汚れを取り除き洗浄することによって、歯茎の痛みや腫れの症状を改善していきます。
3D画像診断装置にて歯根の状態を確認し、マイクロスコープ、ニッケルチタン製の根管拡大器具を使用して安全に拡大、形成していき、最終的に緊密に根管内の充填を行います。
また、根管内で破折した器具の除去等もマイクロスコープで確認し、除去する事も可能です。
CADCAM冠
CADCAM冠は、セレックシステムを使用して金属を使用しない歯の修復物を作製して歯科治療を行います。近年保険適用範囲が拡大されており、中切歯、側切歯、犬歯、第一小臼歯、第二小臼歯が保険適用可能で、条件を満たせば第一大臼歯、第二大臼歯も保険適用となるため、条件次第で全ての歯に保険適用できます。
見た目も自然で美しく、金属アレルギーや歯茎の変色への心配もありません。
特にセラミックを使用した修復物は変色しにくい特徴があり、プラークが付きにくいため清潔な口腔内の維持にも繋がります。
オールセラミック、オールジルコニアをはじめ、見た目の美しさと破折しづらい強度を合わせ持つハイブリッドレジンによる治療も行っております。
口元を美しくしたい、虫歯の治療の跡を目立たせたくないなどのお悩みに合わせて治療を行います。
保険適用範囲(2020年9月より拡大)

上、下の1番・2番・3番の歯- 前歯 (中切歯、即切歯、犬歯)が
保険適用で白いかぶせ物が選べます。
上、下の4番・5番の歯- 小臼歯という部位になり、
保険適用で白いかぶせ物が選べます。
上、下の6番の歯- 7番の歯が4本とも残っている場合、
保険適用で白いかぶせ物が選べます。
金属アレルギーの方
上、下の6番の歯
上、下の7番の歯- 金属アレルギーの方は、
保険適用で白いかぶせ物が選べます。
※金属アレルギーを証明する医師の診断書が必要です。
CADCAM冠
| 費用 | 約6,600円(税込)/1本 ※3割負担適用の場合 |
|---|---|
| 治療期間 | 約2ヶ月 |
| メリット |
天然の歯に近い白色のため、銀歯よりも審美性が高く、金属アレルギーが起こりにくい。 天然の歯に近い硬度のため、噛み合う歯にダメージが起こりにくい。 保険適用外の素材に比べて、保険が適用されるために安価に治療できる。 |
| デメリット |
強度の高いプラスチックを使用しますが、摩耗が発生する可能性があり、銀歯に比べて外れやすい。 治療後から経年劣化し、表面の艶が無くなる。 |
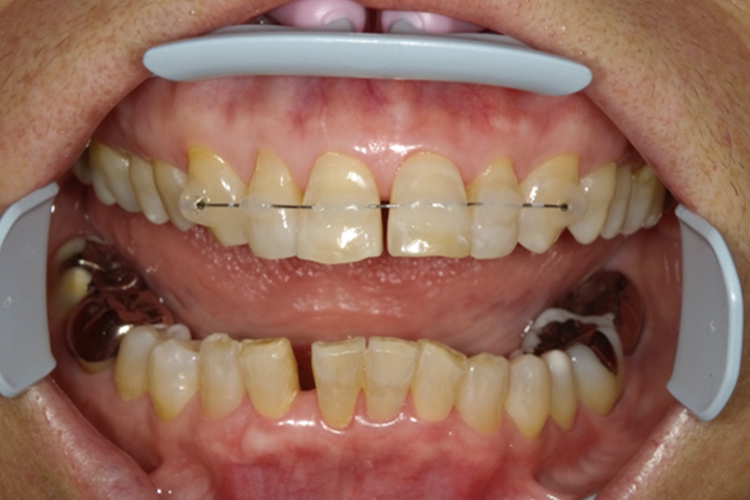
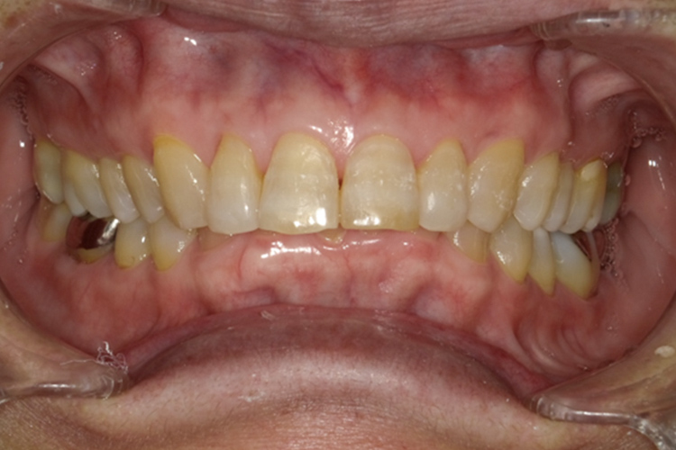
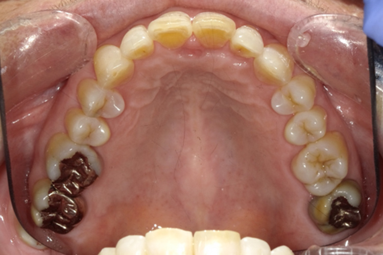
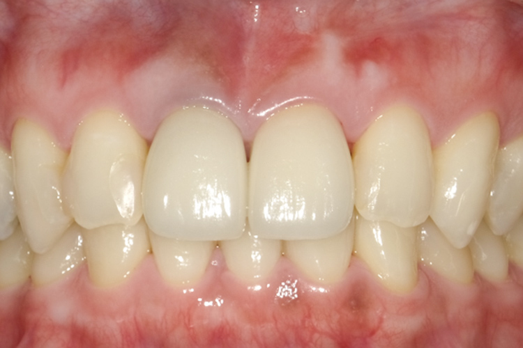
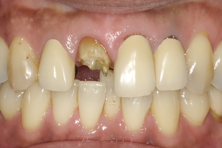
治療前
治療後
セレッククラウン 前歯部適用
| 費用 | 前歯部適用 66,500円/1本 |
|---|---|
| 治療期間 | 約2ヶ月 |
| メリット |
天然の歯に近い白さと透明感があるので、審美性が高く歯との接合性に優れているため、天然の歯とセラミックの間に虫歯が発生しにくい。 金属アレルギーが起こりにくい。 |
| デメリット | 強度が弱いため、強い衝撃を受けると欠ける事があります。既成の色調から選択されるため、個性的な色調には合わせづらい。 |
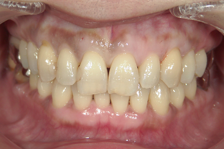
治療前
治療後
ジルコニアクラウン 臼歯部適用
| 費用 | 60,500円(税込)/1本 |
|---|---|
| 治療期間 | 約〇ヶ月 |
| メリット | 強度が高く、咬み合せが強い方でも破折の心配なく安心して噛める。 |
| デメリット | 不透過性が高く、単一色のため天然歯と比べ色調が合わせづらい。 |
プレミアムジルコニアクラウン
| 費用 | 77,000円(税込)/1本 |
|---|---|
| 治療期間 | 約2ヶ月 |
| メリット | 一般的なジルコニアに比べ、異なる色調、透光性、機械的強度を有するジルコニア原料を積層したジルコニアです。自然なグラデーションと共に、優れた 機械的特性と透光性を有しています。 |
| デメリット | 費用が高額。 |
治療前
治療後
e-maxクラウン 前歯、臼歯部適用
| 費用 | 約115,500円(税込)/1本 |
|---|---|
| 治療期間 | 約2ヶ月 |
| メリット | e-maxはジルコニアに比べ強度はやや劣るものの透過性に優れているため、装着後に自然観を獲得しやすい。 |
| デメリット |
透明度が高い素材なので、元の歯の色が反映されやすい。 金属と比べた場合、強度や耐久性が低いため、過度の衝撃が加わる場合は割れる可能性がある。 自費診療のために治療費が高額になる。 |
治療前
治療後
ポーセレンジルコニアクラウン 前歯、臼歯部適用
| 費用 | 約137,500円(税込)/1本 |
|---|---|
| 治療期間 | 約2ヶ月 |
| メリット |
天然の歯に近い色味の陶材を使用するため、他の素材に比べて色調や透明感が自然に表現できます。 内側をジルコニアフレームにすることで、陶材を使いつつも天然の歯と同等の強度を持つ。 金属アレルギーが起こりにくい。 |
| デメリット |
表面は比較的強度の低い陶材のため、極度に強い衝撃が加わる場合に割れる可能性がある。 自費診療のため、保険診療で使用できる素材に比べて高額になる。 |
治療前
治療後
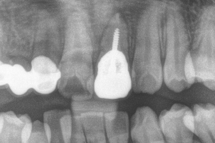
ストローマン
インプラント
当院で使用しているストローマンインプラントは50年以上にわたって研究・開発されており、その長期的な成功および安全性は多くの臨床研究により裏付けられています。世界では、1300万本以上のストローマンインプラントにより、500万人以上の患者さんが第二の永久歯と呼べる歯を取り戻しています。
永久保証があり、インプラント本体に不具合があった場合、無料で交換する事が可能となります。(但し、撤去に伴う費用、再手術費用、被せ物の費用は別途かかります。)また、急な引っ越し等に置いても、国内トップのシェアにより、他院での普及率が高いため、不具合に対しての対応が他院でも受けやすいです。
| 費用 | 約500,000円(税込) |
|---|---|
| 治療期間 | 約6ヶ月 |
| メリット |
天然の歯のような噛み応えがあり、周辺の歯に負担を掛けることがありません。 入れ歯と違い金属部部が露出しないため審美性が高い。 直接あごの骨に埋め込むため、咀嚼時の刺激が骨に伝わり、あごの骨が痩せてしまうことを防げる。 |
| デメリット |
外科処置が必要で、麻酔で痛みは軽減されるが体に負担がかかる。
自費治療のため治療費が高額になり、手術の他に抜歯や経過観察が必要なため、治療期間が長い。 被せ物の状態や噛み合わせの確認のため、定期的なメンテナンスが必要。 |
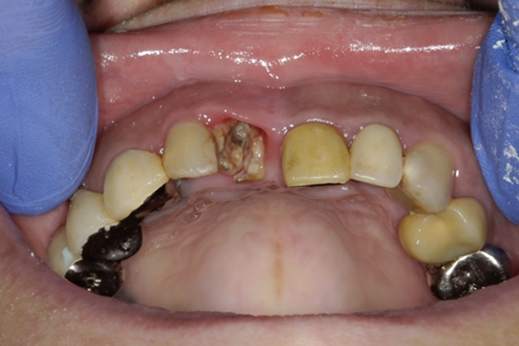
治療前


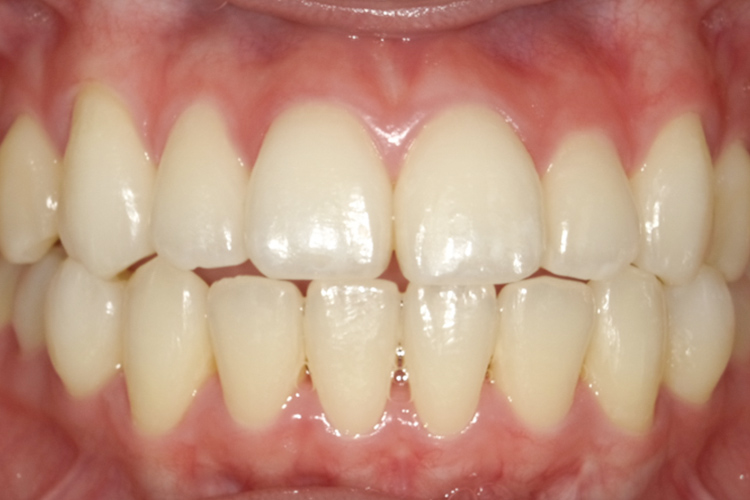
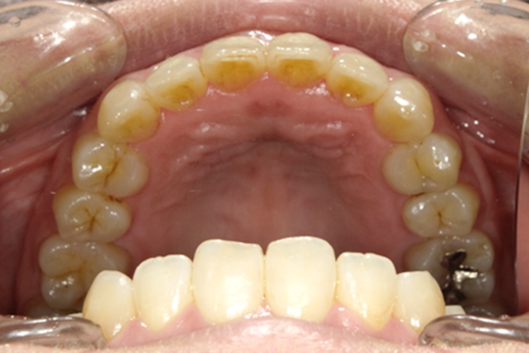
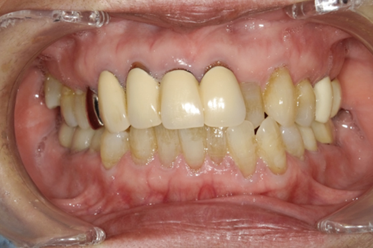
治療後


矯正歯科
矯正歯科の治療の流れ
-
STEP 01
・診査模型、口腔内写真、顔貌写真、レントゲン撮影等の情報を採取します。 -
STEP 02
・診断結果の説明矯正装置について、期間や費用についてご説明します。 -
STEP 03
・歯ブラシ指導とう蝕リスク検査矯正装置を装着すると歯ブラシが難しくなり、虫歯にもないりやすくなるため、歯ブラシ指導と共に唾液検査にてう蝕リスクについての検査を行います。 -
STEP 04
・矯正装置の装着必要な矯正装置を装着します。 -
STEP 05
・保定矯正装置除去後、歯列保定のための装置を装着します。
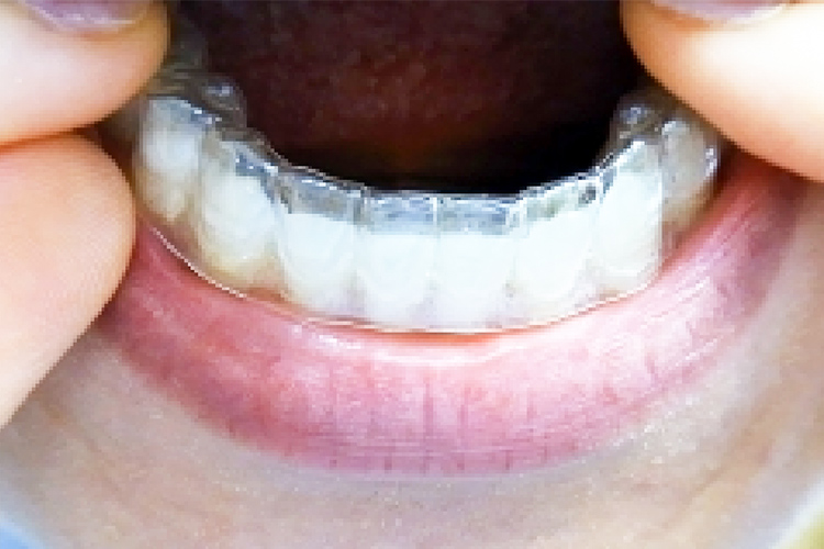
アソアライナー
| 費用 | 330,000円〜/片顎 |
|---|---|
| 治療期間 | 約3ヶ月 |
| メリット |
透明な矯正装置によって、口元を目立たせず歯科矯正ができる。 食事のときに装置を取り外すことができる。 金属ワイヤーやブラケットとくらべて、装置自体の違和感が少なく、定期的に自分にあった矯正装置に取り替えるため、痛みが少なく治療できる。 矯正期間中も虫歯治療やホワイトニングができる。 |
| デメリット |
装置の装着時間が短いと、歯が思うように動かないことがあるので、必要な装着時間を守り適切に使用する必要がある。 上下顎の不調和や、抜歯が必要な場合、その他にも複雑な歯の調整が必要な場合は治療に不向き。 |

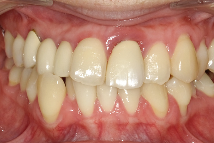
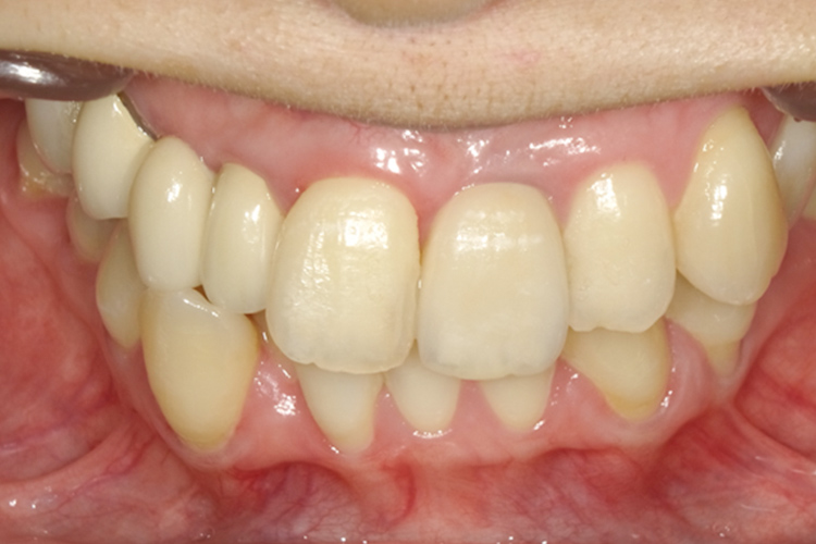
治療前

治療後

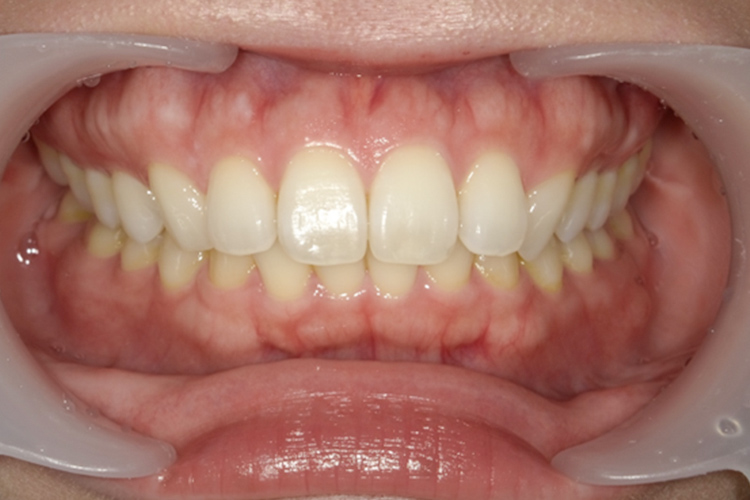
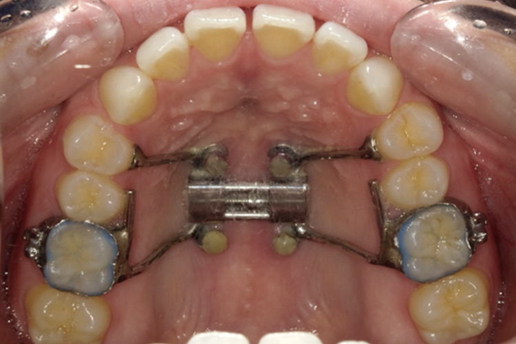
小児上顎拡大装置
| 費用 | 77,000円 |
|---|---|
| 治療期間 | 約3ヶ月~6ヶ月 |
| メリット |
上顎の成長を促すことで歯列や骨格のバランスを調整して不均衡を改善できる。 永久歯に生え変わる前に治療することで、永久歯が生えてきた際のスペースを確保できるため、便宜抜歯するリスクを回避できる。 上顎が広がり、鼻腔が広がることで、口呼吸から鼻呼吸へ改善できる。 |
| デメリット |
装置装着後一週間ほどは発音しづらかったり、飲み込みにくく感じる。 口元や鼻に痛みが生じる場合があり、装置周辺に食べ物が付着しやすいため、歯磨きの難易度が高くなる。 |
矯正前

拡大装置

拡大後

ブラケット

矯正後

成人上顎拡大装置
| 費用 | 165,000円 |
|---|---|
| 治療期間 | 約1ヶ月~3ヶ月 |
| メリット |
歯列を広げられるので便宜抜歯するリスクを回避できる。 歯列だけではなく、顎の骨格も改善できるので、口呼吸から鼻呼吸へ改善される可能性が高い。 装置が目立たない。 |
| デメリット | 使用できる症例が限られるが治療期間が長く、装置を装着している間は、装置周辺に付着する食べ物をしっかりと取り除く必要がある。 |
矯正前

拡大装置

拡大後


ブラケット

矯正後

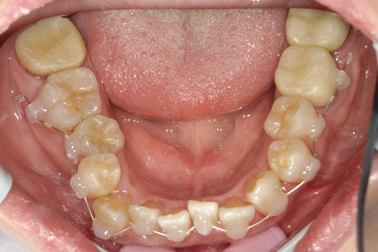
下顎拡大装置
| 費用 | 77,000円 |
|---|---|
| 治療期間 | 約3ヶ月~6ヶ月 |
メタルブラケット
| 費用 | 682,000円 |
|---|
セラミックブラケット
| 費用 | 737,000円 |
|---|
ブラケットフリー
| 費用 | 792,000円 |
|---|
部分矯正
| 費用 | 〇〇〇〇 |
|---|---|
| 治療期間 | 約18ヶ月 |
| メリット |
比較的簡単な不正咬合の治療のため、治療期間は比較的に短くなる。 矯正装置が少ないため治療費が安く、食事のストレスが少なく、食べ物汚れが付きにくい。 |
| デメリット |
あくまで簡単な部分的な歯列のみの矯正で、全体的な咬み合わせを改善したり、重度の不正咬合は治療出来ない。 抜歯や歯の接触面を削る場合がある。 |
矯正前

矯正後

前歯の傾斜治療
矯正前


ブラケット装置装着

治療後


予防治療
歯周病は、歯の支えとなる部分の骨を溜まった汚れや歯石が溶かしてしまう病気です。
虫歯と並んで歯を失う原因の一つとなっている歯周病ですが、その治療にはプラーク(歯垢)を取り除き、歯肉、歯根膜などの歯周組織の炎症を抑えることが有効となっています。
原因を取り除くことで再発の予防もしていきます。
細菌を歯周ポケットから除去することで、歯周組織の健康は維持できますが一度歯周組織を失ってしまうと、自然に元に戻ることはありませんので適切な治療をすることが大切です。
PMTC(プロフェッショナル・メカニカル・ティース・クリーニング)
普段の歯磨きでは難しい歯と歯の隙間や、口腔内の隅々を専用の機器を使用してケアします。歯磨きだけでは落としきれない汚れや歯垢の元になるバイオフィルムも除去します。
PMTCは歯周病改善だけでなく虫歯も防ぎ、歯質強化、着色除去して光沢感を出す効果もあります。
| 費用 | ・歯石除去 保険適用 約4000円 ・PMTC 5500円/30分 ・パウダージェットクリーニング 3300円/15分 |
|---|


歯周病原菌、う蝕関連菌検査
ジーシー・サリバチェック・ラボの歯周病原細菌検査サービスを使用して、歯周病原菌やう蝕関連菌検査を行います。患者様の検体をラボに送り、ラボで検査された後に結果は当院に返送されます。
虫歯に影響するう蝕関連細菌の割合や、歯周病に影響する菌種をラボで精密に分析します。測定が難しいとされる嫌気性菌である歯周病原菌数の正確な測定も、この検査によって可能になっています。
| 費用 | ・歯周病原菌検査 5種25000円 ・う蝕リスク検査 3300円 |
|---|


エムドゲイン・ゲルによる治療
エムドゲインは歯周病によって溶けてしまった骨を再生させる薬で、タンパク質の一種が主成分となっております。
歯の表面の汚れを取り除いてから、溶けた骨の部分にエムドゲインを入れることで歯の発生過程に似た環境をつくります。
初めて歯が生えたときと同じような付着機能を持つ歯周組織の再生を促します。
| 費用 | ・55,000円〜/1歯 ・歯肉移植手術 33000円〜/1歯 |
|---|---|
| 治療期間 | ○○○○ |
| メリット |
自分の歯槽骨を再生させるため、自分の歯を使い続けることができる。 約5割から9割の骨を再生することができるので、歯周ポケットを浅くし、歯周病の改善、再発予防につながる。 |
| デメリット |
骨が再生するまでにある程度の期間が必要で、再生できる骨の量には個人差が出る。 どの様な症状にも適用するわけではなく、歯周病は再発のリスクが高い病気のためメンテナンスが必要。 |

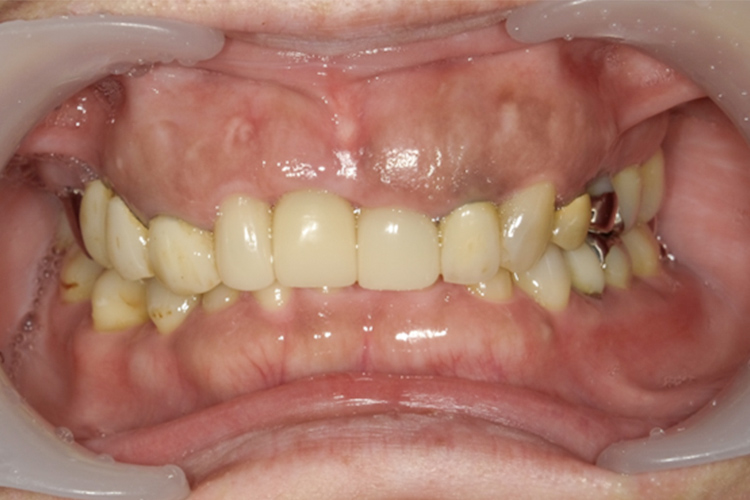
義 歯
保険対応の義歯から機能的な保険外の義歯、そして部分床義歯や総義歯に至るまで幅広くお取り扱いしております。
保険外の総義歯では、硬い入れ歯の裏面を生体用シリコンで覆った新しい技術によってつくられた「コンフォート」を採用しています。
りんごをまるかじりしたとしても、シリコンの弾性が歯茎への負担を減らす手助けをしてくれますので、硬い食べ物も食べたときの負担も少なく、従来の総義歯にあった「噛みづらさ」などを緩和してくれます。
患者様に合わせた方法をご提案いたしますので、お気軽にご相談ください。
保険診療の義歯
| 費用 | 総義歯(3割負担の場合) 約18000円/片顎 |
|---|---|
| 治療期間 | 約2ヶ月 |
| メリット | 治療費が抑えられるほか、壊れてしまった場合にも比較的簡単に修理することができる。 |
| デメリット |
人工歯、義歯床に使用できる素材はプラスチック(レジン)のみしか選択肢が無い。 全体的に分厚いので、装着した際の違和感が大きい。 部分入れ歯の場合は、固定するクラスプ(金属)があるため、審美性が低い。 |
治療前
治療後
| 費用 |
・コンフォート義歯 385000円/片顎 ・コバルトクロム床義歯 330000円/片顎 ・チタン床義歯 385000円/片顎 ・GDSデンチャー 385000円/片顎 ・ロケーター義歯 440000円/片顎(別途インプラント費用) |
|---|---|
| 治療期間 | ○○○○ |
| メリット |
人工歯、義歯床にプラスチック(レジン)以外の素材を選択できる。 部分入れ歯の場合に固定する金属を目立たない素材のものにできる。 金属を使った薄い総入れ歯や、審美性の高い部分入れ歯を使うことで、より自然に近い見た目で、装着時の違和感を少なくできる。 |
| デメリット |
治療費の負担が大きい。 インプラントやブリッジと比べると違和感がある。 金属を使用しない場合、素材自体の寿命が短いため数年程度の頻度で作り直す必要がある。 |
治療前
治療後
ホワイトニング
当院のホワイトニングは、それぞれ特徴の違う3つの方法で患者様のご要望などに合わせて治療を行います。
費用、持続性、手軽さなど、それぞれの方法には異なる特徴がありますので、患者様ご自身に合った方法を選んでいただいております。
オフィスホワイトニング
歯科医院にて行うオフィスホワイトニングは、医師の管理の元で高濃度のホワイトニング剤と歯科医療用のライトを使用してホワイトニングしていきます。ムラがない仕上がりが特徴です。
口腔内を保護してから歯にホワイトニング剤を塗布し光を照射します。
定期的な検診で歯の色の変化がないかなど確認しながら、治療を進めていきます。
コア歯科クリニックでは「Tion」によるオフィスホワイトニングを導入しています。
| 費用 | ○○○○ |
|---|---|
| 治療期間 | ○○○○ |
| メリット |
1回30分から1時間程の治療を1~3回行うことで効果を実感できるため、比較的短い期間に効果を感じられやすく拘束時間が短い。 治療前に歯石の除去を行うため、口腔内の環境を確認してもらえるので、虫歯やその他の病気を早期発見できる。 |
| デメリット |
白さが持続しにくく、長期的に白さを維持する場合、費用の負担が大きくなる。 歯周病や虫歯がある場合は、ホワイトニング剤が使用できないため、先に治療する必要がある。 施術後は色素沈着しやすい食べ物や飲み物、タバコなどは控えなければいけない。 |


ホームホワイトニング
自宅で行うホームホワイトニングは、患者様の歯型に合わせてマウスピース型のトレーを作製し、ホワイトニングジェルをトレーに入れて装着してホワイトニングします。
ご自分のタイミングでホワイトニングができるところが特徴で、忙しくてなかなか歯医者に通えない方に向いている治療法になっています。
定期的に検診に通っていただき、歯の色の変化などを確認していきます。
| 費用 | 38,500円 |
|---|---|
| 治療期間 | 約4週間 |
| メリット |
自分のペースで施術できるので、自分の生活リズムを保ちつつ歯を白くできる。 オフィスホワイトニングに比べて色持ちが良く、色の後戻りが起こりにくい。 最初にマウスピースを制作すれば、その後はホワイトニング剤とメンテナンス時の通院費で済むので費用が抑えられる。 |
| デメリット |
即効性のある薬剤を使用しないため、効果が現れ始めるまで2週間ほどかかる。 薬剤の塗布、マウスピースの装着などを全て一人で行わなければならず、毎日約2時間マウスピースを装着する必要がある。 施術後は色素沈着しやすい食べ物や飲み物、タバコなどは控えなければいけない。 |
治療前
治療後
デュアルホワイトニング
ホームホワイトニングとオフィスホワイトニングの双方の良さを活かしたのが、デュアルホワイトニングの特徴です。
比較的早く効果を感じられやすく、長持ちしやすいという二つのホワイトニングの特徴を活かした方法となっています。
また定期検診を受けていただきながら、きれいな状態を保てるよう治療を行っていきます。
| 費用 | 〇〇〇〇 |
|---|---|
| 治療期間 | 〇〇〇〇 |
| メリット | 歯科医院と自宅で複合的にホワイトニングを行うので、どちらかを行う場合よりも白さの限界値が高く、色戻りが起こりにくい。 |
| デメリット |
オフィスホワイトニングとホームホワイトニング、2つ分の費用がかかるためにコストが高くなります。 歯科医院では高濃度の薬剤をつかい、ご自宅でも薬剤を使うため、痛みが出る場合がある。 |

歯肉漂白
| 費用 | 5,500円(税込) |
|---|---|
| 治療期間 | 約2週間 |
| メリット |
フェノールを使ったピーリングは、表面麻酔のみで十分な疼痛コントロールが可能。 技術が開発されてから半世紀以上経過しているため、術式が確立されており安全性が高い。 |
| デメリット |
金属イオンが溶け出した際に着色が起こるメタルタトゥーの治療には適さない。 アルコールアレルギーがある方は施術を受けられない。 歯肉が薄い場合は、歯肉退縮を引き起こす可能性がある。 |
歯肉の黒ずみを除去



舌小帯手術
舌小帯とは、舌の裏側にある下顎と舌をつなげている筋のことをいいます。
舌小帯が短いと舌を動かしにくく発音しにくいなどの症状が出てしまい、滑舌や歯並びにも関わってくる場合があります。
舌小帯は舌の前方まで付着した状態になっているため、あっかんべーをしたときに舌の先端がハート形になって引っ張られてしまったり、サ行が発音しにくかったりなどの症状もあります。
症状の改善には舌小帯切除の手術が行われますが、当院では炭酸ガスレーザーを用いた切除方法で治療を行っています。レーザー治療では縫合の必要がなく、痛みを抑えることができます。
| 費用 | 約2,000円(3割負担の場合) |
|---|---|
| 治療期間 | 1日 |
| メリット |
不正咬合や発音障害の改善が見込める。 短時間の手術で、レーザーを使って切断するため、縫合の必要がない。 |
| デメリット | 切断面が癒着する可能性があるので、術後しばらくはMFTトレーニングを行う必要がある。 |
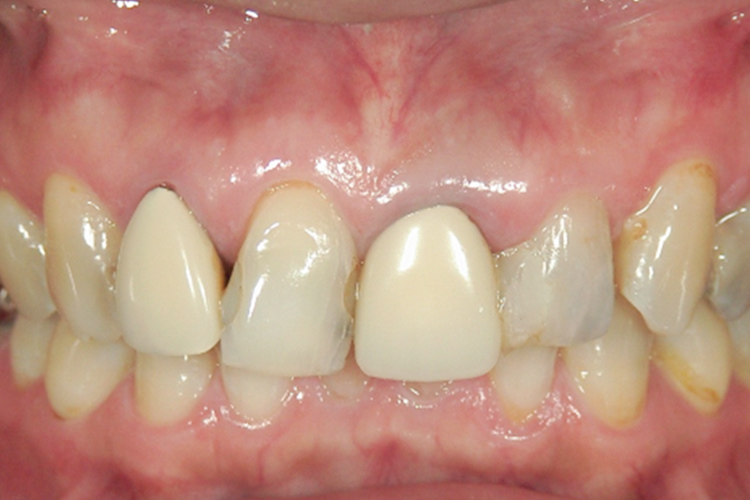
治療前

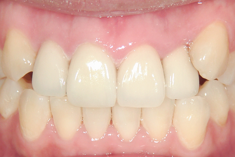
治療後

睡眠時無呼吸
症候群

睡眠時に呼吸が止まってしまうことで、体内に酸素が行き渡らなくなり低酸素状態になってしまう病気です。
肥満が大きな原因の一つとして知られていますが、歯並びや歯・顎の位置不正などの歯科的による問題も関わりがないとは言い切れません。
睡眠時無呼吸症候群の人口はおよそ200万人以上ともいわれています。
コア歯科クリニックでは、マウスピースによる治療を行っております。
マウスピースを使用することで、舌が喉の奥へ落ちづらくなり、気道が確保され、いびきや無呼吸を防ぐことに繋がります。また鼻呼吸への習慣付けの効果もあります。
睡眠時無呼吸症候群の種類
-
閉塞型睡眠時無呼吸症
睡眠中の筋弛緩などにより舌根部や軟口蓋が気道を閉塞していびきを伴います。
-
中枢型睡眠時無呼吸症
脳の呼吸中枢から「呼吸」の信号が送られない呼吸中枢の障害が起こることで、いびきをかかずに呼吸運動がない状態となります。
-
混合型睡眠時無呼吸症
閉塞型と中枢型の両方の症状が同時に表れます。
耳鼻科と連携したマウスピース治療
潜在的な無呼吸症の患者様には、精密検査を受けていただくため耳鼻科をご紹介し、耳鼻科での検査を経てから保険適用のマウスピースを用いた治療を行っています。精密検査は1日程度の入院が必要となります。
また、いびきの症状のみを改善したい患者様は、自費治療でのマウスピース治療を行うこともできます。
| 費用 | ○○○○ |
|---|---|
| 治療期間 | ○○○○ |
| メリット |
睡眠時無呼吸症候群、いびきの軽減に繋がり、身体への負担が少ない。 CPAPやASVよりも小型のため、装着時のストレスが少なく持ち運びに便利。 |
| デメリット |
マウスピースを装着して睡眠できるようになるまで慣れる必要。 重度の睡眠時無呼吸症候群には、効果が十分に発揮されないことがある。 歯科と耳鼻科の両方に通院する必要がある。 |
いびき防止スプリント

スリープスプリント

ドックベスト

ドックベストセレメントは、虫歯をできる限り削らずにミネラルで殺菌することで虫歯を治療します。
麻酔の必要性もほとんどなく、開発されたアメリカでは安全な薬剤としての認可を受けています。
銅、亜鉛、リン、鉄、アルミニウム、酸化チタンなどのミネラルが主成分となっており、銅が虫歯菌を殺菌する働きをして、その他のミネラルは虫歯に感染してしまった歯の再生を促します。
口腔内でイオン化した銅は細菌の細胞壁に吸着し、細胞を死滅させる働きがあります。
虫歯の周りに残っているプラークをきれいに取り除いてから、虫歯によって空いてしまった穴や、虫歯の進行によってやむを得ず削ってしまった部分にドックベストセメントを詰めて、象牙細管に潜む細菌や神経に達した細菌を殺菌させていきます。
最後に詰め物をして歯の中で蓋をされた状態のドックベストセメントが、歯の再生を助けます。
銅以外のミネラルが歯の再生を助けることで、虫歯菌によって溶けかかった歯質を硬くしてくれるため虫歯の再発予防にも繋がります。
| 費用 | ○○○○ |
|---|---|
| 治療期間 | ○○○○ |
| メリット |
神経を取らないで治療できる可能性がある。 中程度の虫歯でも歯を削る量は少なく済む。 治療回数や期間も比較的短くなる場合が多い。 天然のミネラルが主成分のため、副作用の心配が無い。 成分に含まれている銅には、永続的な殺菌効果が期待できます。 |
| デメリット |
自費治療のため、セメント、詰め物共に保険適用外。 虫歯の罹患部位や状態の進行具合によって治療ができない場合がある。 歯磨きなどの日常ケアを怠ってしまうと、他の部分が虫歯となる場合がある。 |
治療前
治療後
歯牙移植治療
歯を失ってしまった部分に、別の場所から抜歯した自分の歯を移植する治療法です。
虫歯が歯根まで達していたり、歯が割れてしまったりして歯を残せない場合、歯を失ってしまった場合に親知らずや機能していない歯(埋伏歯)を埋めなおします。
自歯を埋め込むことで、血液循環によって細菌に対して防御する機能が働き、食感を感じられることができるようになります。
口腔内診査、歯周組織の精密検査、CT撮影などを行い歯牙移植が適応であるか診断を行ってから、移植手術を行います。
| 費用 | ○○○○ |
|---|---|
| 治療期間 | ○○○○ |
| メリット |
親知らずや埋伏歯を利用できるので、歯磨きがしやすくなる場合が多い。 自分の歯を移植するため、自分自信の噛むことができる。 インプラントを先延ばしにできるので、負担を減らすことができる。 |
| デメリット |
移植した場所に歯が生着しない可能性や、外科手術のため腫れや違和感がある場合がある。 適応する歯牙が無い場合は手術できない。 歯や骨に加工が必要な場合は保険適用外となる。 |
治療前
移植歯
移植後
補綴装着
抜歯・移植前
抜歯・移植後固定中
固定後・ブリッジ完成
根面被覆
歯周病などによって歯肉が下がってしまい、歯根が露出した状態になってしまったときなどに上顎の裏側から歯肉を一部採取して、患部に移植し露出根面を覆う移植手術です。
露出していた部分は歯肉の移植によって厚みが出ますので、歯茎の退縮が起こりにくくなり症状の緩和にも繋がります。
歯茎が下がることによる染みるなどの症状や、知覚過敏、根面う蝕に対して行なわれる治療となります。
| 費用 | ○○○○ |
|---|---|
| 治療期間 | ○○○○ |
| メリット |
自分の組織を使う場合、術後の拒絶反応が起きない。 生体材料を使う場合、上顎からの後出血の心配がない。 |
| デメリット |
自分の組織を使う場合、手術箇所が2箇所になり、術後に上顎から出血がある。 生体材料を使う場合、拒絶反応の心配があり、患者自身の同意が必要。 材料費が余分にかかる。 |
治療前
治療後

